矯正治療

矯正治療

自信の持てる笑顔へ

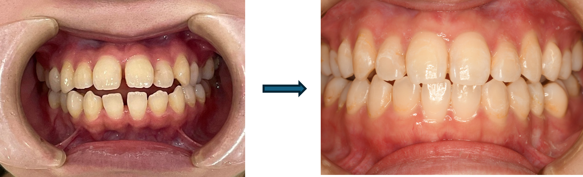
あなたに合った矯正治療をご提案します。歯並びは見た目の印象だけでなく、”噛みやすさ” “虫歯・歯周病のなりにくさ” “発音” など、全身の健康や日常の快適さにも関わる大切な要素です。当院では、Smartee(スマーティ)を用いたマウスピース矯正と幅広い症例に対応できるワイヤー矯正の両方に対応し、患者様のご希望と歯の状態に合わせた最適な矯正治療をご提案します。

矯正治療とは?

矯正治療とは?

矯正治療は、乱れた歯並びや噛み合わせを整え、より美しく機能的な口元へ導く治療です。歯並びが整うことで、

  • 清掃性が良くなり虫歯・歯周病の予防につながる
  • 発音が改善する
  • 食事がしやすくなる
  • 表情が明るい印象になる

など、さまざまなメリットがあります。また、噛み合わせが整うことで、顎関節や姿勢への負担が軽減され、全身の健康にも良い影響を与えるとされています。

Smartee®︎について

Smartee®︎について

Smartee(スマーティ)は、世界80ヵ国以上で導入され、これまでに1,000万人以上の治療実績を持つマウスピース型矯正装置です。従来のワイヤー矯正や一般的なマウスピース矯正と比べても、目立ちにくさ・治療の進めやすさ・始めやすさといった点で高い評価を受けています。透明で薄い素材を使用しているため、装着していても周囲に気づかれにくく、日常生活やお仕事、学校生活への影響を最小限に抑えながら矯正治療を続けられるのが特長です。見た目のストレスが少ないことから、矯正治療が初めての方にも選ばれています。また、治療前には3Dシミュレーションを用いて歯並びの変化を事前に確認できるため、治療の流れやゴールが分かりやすく、安心して治療をスタートできます。お子さまの成長に合わせた矯正から、大人の本格的な歯並び改善まで、年齢や症状に応じて柔軟に対応できる点もSmarteeの大きな魅力です。

Smartee®の特徴

Smartee®の特徴

透明で目立ちにくいマウスピース矯正

Smarteeは透明で薄いマウスピースを使用するため、装着していても周囲に気づかれにくいのが特長です。見た目へのストレスが少なく、仕事中や学校生活、日常会話でも自然に過ごせます。

Smartee®の特徴

3Dシミュレーションで治療後の歯並びが見える

治療前に3Dシミュレーションを行い、歯がどのように動き、どんな歯並びになるのかを事前に確認できます。ゴールが明確になることで、不安を減らし、納得したうえで治療を始められます。

Smartee®の特徴

年齢・症状に合わせた幅広いラインナップ

Smarteeは、お子さまの成長期矯正から大人の本格的な矯正まで対応できる豊富なシリーズ展開があります。軽度〜中等度、症例によっては難症例にも対応でき、一人ひとりに合わせた治療計画が可能です。

Smartee®の特徴

取り外しができ、日常生活への負担が少ない

食事や歯みがきの際には取り外しができるため、普段通りの食生活や口腔ケアが可能です。ワイヤー矯正と比べて痛みや違和感が出にくく、清潔に保ちやすい点もメリットです。

Smartee®の特徴

世界80ヵ国以上・1,000万人以上の治療実績

Smarteeは世界80ヵ国以上で導入され、これまでに1,000万人以上が治療を受けてきた実績があります。豊富な臨床データに基づいたシステムで、安心感のある矯正治療を提供します。

Smartee®の特徴

矯正が初めての方でも始めやすい

「目立つのが不安」「矯正は大変そう」という方でも、始めやすく続けやすい設計がSmarteeの特長です。矯正治療に一歩踏み出せなかった方にも選ばれています。

メニュー

マウスピース矯正(Smartee、インビザライン)

マウスピース矯正(Smartee)

向いている方

  • 見た目に配慮したい方
  • 痛みに弱い方
  • 歯磨きなどを清潔に保ちたい方
  • 軽度〜中等度の歯並び乱れが気になる方

● 料金
前歯部のみのマウスピース矯正 19,800円~(税込)
全額矯正 750,000円~(税込)

Smartee、インビザラインは透明のマウスピースを使用する最新の矯正治療です。薄くて目立ちにくく、仕事や学校でも周囲に気づかれにくい自然な見た目が特徴です。

  • 透明で目立たない
  • 取り外し可能で衛生的
  • 金属を使わないため安心
  • 痛みが比較的少ない
  • 食事・歯磨きがいつも通り
マウスピース矯正(Smartee)

ワイヤー矯正

ワイヤー矯正

向いている方

  • 重度の歯列不正
  • 噛み合わせのズレが大きい方
  • 精密な歯の移動が必要な方

● 料金
750,000円〜(税込)

ワイヤーとブラケットを歯に装着し、少しずつ力をかけて歯を動かしていく伝統的な矯正治療です。対応できる症例の幅が広く、複雑な噛み合わせにも適しています。